See How Your General Dentist in Canton OH can Help You Shine!
We know how important your smile is and how much it means to you. Your general dentist in Canton OH, Dr. Guy Hisrich, is dedicated to helping patients achieve the goal of their perfect smile. Below, we’ve added a series of photos to give patients an overview of the type of smile transformations that we can create here at our office. If you have any questions about the procedures mentioned below, or are interested in learning more about these services, call our office at (330) 493-8400 to schedule an appointment or consultation today.
Dental Bonding

Bonding to close space between front teeth
___________________________________________________________

Bonding on two front teeth.
________________________________________________________

Bonding on cuspid to soften sharp line-angle
_______________________________________________________________

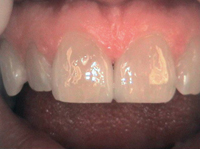
Bonding to close space between front teeth and cover staining.
____________________________________________________________________
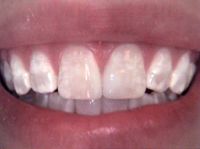
Teeth Whitening

___________________________________________________________________________
Dental Veneers
Porcelain veneers on four front teeth.
_____________________________________________________________________

Porcelain veneer on lateral incisor
___________________________________________________________________
Dental Bridges

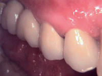
Fixed bridge to replace missing back tooth.
___________________________________________________________________

Fixed bridge to replace missing front tooth.
_____________________________________________________________________
Porcelain Crowns

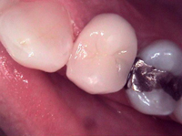
Porcelain crown to restore broken tooth.

Full-mouth rehabilitation with full coverage porcelain crowns, also known as caps
________________________________________________________________








